Onze vertrouwde partners







De beste instructeurs
Wij hebben de beste instructeurs die hun kennis delen met jou
Online lessen
Online lessen volgen zodat jij kan leren waar en wanneer jij wilt
1 op 1 support
Heb je hulp nodig? Wij staan klaar om jou te helpen.
Populaire cursussen
Dit zijn onze meest populaire cursussen. Word een gepassioneerde zorgprofessional en blijf up-to-date met de nieuwste kennis en vaardigheden. Kies voor online leren bij SpoedZorgAcademy en ontdek nieuwe mogelijkheden voor persoonlijke en professionele groei. Meld je vandaag nog aan en begin jouw e-learning avontuur!
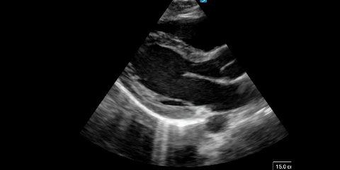
Echo
Point of Care Echocardiografie
Snel en doelgericht inzicht in de hartfunctie van je patiënt? Met Point of Care Echocardiografie (POCUS) kun je binnen enkele seconden cruciale diagnostische informatie verzamelen. Deze essentiële techniek helpt zorgprofessionals om levensbedreigende cardiale aandoeningen direct aan het bed te herkennen en de juiste vervolgstappen te bepalen.
Cursusbeschrijving
Ontdek de kracht van echocardiografie met Gert-Jan Mauritz, spoedeisende geneeskunde-expert, die je meeneemt in de wereld van Point of Care Echocardiografie.
Tijdens deze cursus leer je stap voor stap hoe je snel en betrouwbaar cardiale beelden maakt en interpreteert. Je duikt in de anatomie van het hart, de verschillende echovensters en technieken om pericardeffusie, rechterhartbelasting en systolische linkerventrikelfunctie te beoordelen. Met praktische casussen en duidelijke uitleg krijg je de handvatten om deze essentiële vaardigheid direct in te zetten in de klinische praktijk.
Na deze e-learning ben je klaar om met vertrouwen een echobeeld te maken en te beoordelen – of je nu werkt op de spoedeisende hulp, de IC of in de prehospitale setting.
Voltooiingsvereisten
Voltooiing van deze cursus vereist een voldoende voor de eindtoets. Na voltooiing wordt een bewijs van deelname verstrekt.
Doelgroep
Zorgprofessionals die zich verder willen verdiepen in POCUS echocardiografie in de klinische en pre-hospitale setting.
Medisch
Arteriële Bloedgas Analyse – Een Casusgerichte Verdieping
Bloedgas analyse wordt vaak beschouwd als een complex en uitdagend onderdeel van de medische zorg. Veel zorgprofessionals worstelen met vragen zoals: Welke getallen koppel ik aan elkaar en hoe leid ik daaruit een accurate werkdiagnose af?
De e-learning 'Bloedgas analyse' is speciaal ontworpen om deze vragen te beantwoorden. Met een heldere en stapsgewijze benadering nemen we je mee door het gehele proces van bloedgas analyse. Van het interpreteren van basisgetallen tot het afleiden van cruciale diagnostische inzichten, deze cursus biedt je de kennis en het vertrouwen om bloedgas analyses deskundig uit te voeren.
Laat de complexiteit je niet langer afschrikken; maak bloedgas analyse een begrijpelijke en hanteerbare vaardigheid in jouw medische toolkit.
Cursus beschrijving
Ontdek de kunst van bloedgas analyse met Marloes van Dijk, AIOS Spoedeisende Hulp, die je door zeven boeiende casussen leidt.
Deze cursus biedt je de unieke kans om je vaardigheden te verfijnen en zelfvertrouwen op te bouwen voor praktische analyses.
Je duikt in de complexe wereld van metabole en respiratoire acidose en alkalose, zowel gecompenseerd als ongecompenseerd, en verkent essentiële concepten zoals de anion-gap en de P/F ratio. Alles wordt op een heldere en toegankelijke manier gepresenteerd, zodat je na afloop klaar bent om je nieuwe kennis toe te passen in de praktijk.
Voltooiingsvereisten
Voltooiing van deze cursus vereist een voldoende voor de eindtoets. Na voltooiing wordt een bewijs van deelname verstrekt.
Doelgroep
Zorgprofessionals die bloedgas analyses uitvoeren in de klinische setting.
Non-medisch
Kennismaking met AI in de Spoedzorg
Stap in de toekomst van spoedzorg met onze boeiende e-learning over AI! Leer hoe kunstmatige intelligentie de manier waarop we acute zorg verlenen, radicaal verandert, van snelle diagnoses tot efficiënt patiëntenbeheer. Begrijp de ethische en praktische implicaties van AI en de revolutionaire mogelijkheden die het biedt.
Word een pionier in je vakgebied op basis van AI en help de spoedzorg efficiënter en nauwkeuriger te maken.
Ben jij benieuwd wat kunstmatige intelligentie voor jouw kan betekenen? Schrijf je dan nu in!
Cursus beschrijving
Duik in de intrigerende wereld van kunstmatige intelligentie (AI) met deze e-learning, begeleid door Michiel Tebbes, een vooraanstaand medisch futuroloog en SEH-arts KNMG. Elke module behandelt verschillende aspecten van AI, met inbegrip van diverse uitdagingen en toepassingen binnen het veld.
Met Michiel Tebbes aan het roer, maak je een reis van de oorsprong van AI tot de huidige stand van zaken, en ontdek je de baanbrekende veranderingen die AI kan brengen in de spoedzorg.
Voltooiingsvereisten
Voltooiing van deze cursus vereist een voldoende voor de eindtoets. Na voltooiing wordt een bewijs van deelname verstrekt.
Doelgroep
Zorgprofessionals en andere geïnteresseerden die meer van kunstmatige intelligentie (AI) willen weten.
Echo
Point of Care Echocardiografie
Snel en doelgericht inzicht in de hartfunctie van je patiënt? Met Point of Care Echocardiografie (POCUS) kun je binnen enkele seconden cruciale diagnostische informatie verzamelen. Deze essentiële techniek helpt zorgprofessionals om levensbedreigende cardiale aandoeningen direct aan het bed te herkennen en de juiste vervolgstappen te bepalen.
Cursusbeschrijving
Ontdek de kracht van echocardiografie met Gert-Jan Mauritz, spoedeisende geneeskunde-expert, die je meeneemt in de wereld van Point of Care Echocardiografie.
Tijdens deze cursus leer je stap voor stap hoe je snel en betrouwbaar cardiale beelden maakt en interpreteert. Je duikt in de anatomie van het hart, de verschillende echovensters en technieken om pericardeffusie, rechterhartbelasting en systolische linkerventrikelfunctie te beoordelen. Met praktische casussen en duidelijke uitleg krijg je de handvatten om deze essentiële vaardigheid direct in te zetten in de klinische praktijk.
Na deze e-learning ben je klaar om met vertrouwen een echobeeld te maken en te beoordelen – of je nu werkt op de spoedeisende hulp, de IC of in de prehospitale setting.
Voltooiingsvereisten
Voltooiing van deze cursus vereist een voldoende voor de eindtoets. Na voltooiing wordt een bewijs van deelname verstrekt.
Doelgroep
Zorgprofessionals die zich verder willen verdiepen in POCUS echocardiografie in de klinische en pre-hospitale setting.
Medisch
Arteriële Bloedgas Analyse – Een Casusgerichte Verdieping
Bloedgas analyse wordt vaak beschouwd als een complex en uitdagend onderdeel van de medische zorg. Veel zorgprofessionals worstelen met vragen zoals: Welke getallen koppel ik aan elkaar en hoe leid ik daaruit een accurate werkdiagnose af?
De e-learning 'Bloedgas analyse' is speciaal ontworpen om deze vragen te beantwoorden. Met een heldere en stapsgewijze benadering nemen we je mee door het gehele proces van bloedgas analyse. Van het interpreteren van basisgetallen tot het afleiden van cruciale diagnostische inzichten, deze cursus biedt je de kennis en het vertrouwen om bloedgas analyses deskundig uit te voeren.
Laat de complexiteit je niet langer afschrikken; maak bloedgas analyse een begrijpelijke en hanteerbare vaardigheid in jouw medische toolkit.
Cursus beschrijving
Ontdek de kunst van bloedgas analyse met Marloes van Dijk, AIOS Spoedeisende Hulp, die je door zeven boeiende casussen leidt.
Deze cursus biedt je de unieke kans om je vaardigheden te verfijnen en zelfvertrouwen op te bouwen voor praktische analyses.
Je duikt in de complexe wereld van metabole en respiratoire acidose en alkalose, zowel gecompenseerd als ongecompenseerd, en verkent essentiële concepten zoals de anion-gap en de P/F ratio. Alles wordt op een heldere en toegankelijke manier gepresenteerd, zodat je na afloop klaar bent om je nieuwe kennis toe te passen in de praktijk.
Voltooiingsvereisten
Voltooiing van deze cursus vereist een voldoende voor de eindtoets. Na voltooiing wordt een bewijs van deelname verstrekt.
Doelgroep
Zorgprofessionals die bloedgas analyses uitvoeren in de klinische setting.
Echo
Point of Care Echocardiografie
Snel en doelgericht inzicht in de hartfunctie van je patiënt? Met Point of Care Echocardiografie (POCUS) kun je binnen enkele seconden cruciale diagnostische informatie verzamelen. Deze essentiële techniek helpt zorgprofessionals om levensbedreigende cardiale aandoeningen direct aan het bed te herkennen en de juiste vervolgstappen te bepalen.
Cursusbeschrijving
Ontdek de kracht van echocardiografie met Gert-Jan Mauritz, spoedeisende geneeskunde-expert, die je meeneemt in de wereld van Point of Care Echocardiografie.
Tijdens deze cursus leer je stap voor stap hoe je snel en betrouwbaar cardiale beelden maakt en interpreteert. Je duikt in de anatomie van het hart, de verschillende echovensters en technieken om pericardeffusie, rechterhartbelasting en systolische linkerventrikelfunctie te beoordelen. Met praktische casussen en duidelijke uitleg krijg je de handvatten om deze essentiële vaardigheid direct in te zetten in de klinische praktijk.
Na deze e-learning ben je klaar om met vertrouwen een echobeeld te maken en te beoordelen – of je nu werkt op de spoedeisende hulp, de IC of in de prehospitale setting.
Voltooiingsvereisten
Voltooiing van deze cursus vereist een voldoende voor de eindtoets. Na voltooiing wordt een bewijs van deelname verstrekt.
Doelgroep
Zorgprofessionals die zich verder willen verdiepen in POCUS echocardiografie in de klinische en pre-hospitale setting.
Medisch
Arteriële Bloedgas Analyse – Een Casusgerichte Verdieping
Bloedgas analyse wordt vaak beschouwd als een complex en uitdagend onderdeel van de medische zorg. Veel zorgprofessionals worstelen met vragen zoals: Welke getallen koppel ik aan elkaar en hoe leid ik daaruit een accurate werkdiagnose af?
De e-learning 'Bloedgas analyse' is speciaal ontworpen om deze vragen te beantwoorden. Met een heldere en stapsgewijze benadering nemen we je mee door het gehele proces van bloedgas analyse. Van het interpreteren van basisgetallen tot het afleiden van cruciale diagnostische inzichten, deze cursus biedt je de kennis en het vertrouwen om bloedgas analyses deskundig uit te voeren.
Laat de complexiteit je niet langer afschrikken; maak bloedgas analyse een begrijpelijke en hanteerbare vaardigheid in jouw medische toolkit.
Cursus beschrijving
Ontdek de kunst van bloedgas analyse met Marloes van Dijk, AIOS Spoedeisende Hulp, die je door zeven boeiende casussen leidt.
Deze cursus biedt je de unieke kans om je vaardigheden te verfijnen en zelfvertrouwen op te bouwen voor praktische analyses.
Je duikt in de complexe wereld van metabole en respiratoire acidose en alkalose, zowel gecompenseerd als ongecompenseerd, en verkent essentiële concepten zoals de anion-gap en de P/F ratio. Alles wordt op een heldere en toegankelijke manier gepresenteerd, zodat je na afloop klaar bent om je nieuwe kennis toe te passen in de praktijk.
Voltooiingsvereisten
Voltooiing van deze cursus vereist een voldoende voor de eindtoets. Na voltooiing wordt een bewijs van deelname verstrekt.
Doelgroep
Zorgprofessionals die bloedgas analyses uitvoeren in de klinische setting.
Non-medisch
Kennismaking met AI in de Spoedzorg
Stap in de toekomst van spoedzorg met onze boeiende e-learning over AI! Leer hoe kunstmatige intelligentie de manier waarop we acute zorg verlenen, radicaal verandert, van snelle diagnoses tot efficiënt patiëntenbeheer. Begrijp de ethische en praktische implicaties van AI en de revolutionaire mogelijkheden die het biedt.
Word een pionier in je vakgebied op basis van AI en help de spoedzorg efficiënter en nauwkeuriger te maken.
Ben jij benieuwd wat kunstmatige intelligentie voor jouw kan betekenen? Schrijf je dan nu in!
Cursus beschrijving
Duik in de intrigerende wereld van kunstmatige intelligentie (AI) met deze e-learning, begeleid door Michiel Tebbes, een vooraanstaand medisch futuroloog en SEH-arts KNMG. Elke module behandelt verschillende aspecten van AI, met inbegrip van diverse uitdagingen en toepassingen binnen het veld.
Met Michiel Tebbes aan het roer, maak je een reis van de oorsprong van AI tot de huidige stand van zaken, en ontdek je de baanbrekende veranderingen die AI kan brengen in de spoedzorg.
Voltooiingsvereisten
Voltooiing van deze cursus vereist een voldoende voor de eindtoets. Na voltooiing wordt een bewijs van deelname verstrekt.
Doelgroep
Zorgprofessionals en andere geïnteresseerden die meer van kunstmatige intelligentie (AI) willen weten.
Waarom mensen ons verkiezen boven andere platformen
Bij SpoedZorgAcademy sta jij als cursus deelnemer centraal. Onze interface is gemakkelijk te navigeren, onze cursussen zijn up-to-date en we bieden deskundige ondersteuning. We zijn vereerd dat onze gebruikers ons verkiezen boven andere e-learning platforms en zullen ons blijven inzetten voor de beste e-learning ervaring voor zorgprofessionals in Nederland.
De beste instructeurs
Wij hebben de beste instructeurs met een medische achtergrond, die hun kennis delen met jou
Groeiend aanbod
Ons aanbod wordt continu uitgebreid. Mis jij een cursus? Laat het ons weten
Gespecialiseerd
Onze cursussen zijn ontwikkeld om gespecialiseerde kennis aan jou over te dragen
Geweldige hulp
Heb je tijdens je cursus een vraag of loop je vast? Wij staan altijd klaar om jou te helpen
Verhalen van klanten
Mis je een cursus?
Ben jij op zoek naar een specifieke cursus die momenteel niet beschikbaar is op SpoedZorgAcademy? We horen graag jouw suggesties voor nieuwe cursussen die we kunnen toevoegen aan ons e-learning platform. Vul ons contactformulier in met jouw suggesties en we zullen ons best doen om aan jouw behoeften te voldoen. Bedankt voor je input!